

工作时间 :
周一~~周五
9:00 -18:00
在非工作时间,您可以通过邮件订购产品,订购时请写明详细联系方式,谢谢支持!
销售:18321282235
技术:021-60514606
传真:021-37680378
顾经理微信 扫一扫,关注我们
POLR2D Polyclonal Antibody
RBP4; RPB16; HSRBP4; HSRPB4;
货号:YBP0671 |
|
![]() |
|
规格: 50ul/100ul/200ul |
|
价格: 980/1280/1890 |
|
| Immunogen: | Recombinant protein of human POLR2D | ||
Synonym: |
RBP4; RPB16; HSRBP4; HSRPB4; | ||
| Calculated MW: | 16kDa | ||
| Observed MW: | Refer to figures | ||
Source: |
Rabbit | ||
Isotype: |
IgG | ||
Application: |
WB IHC IF | ||
Purify: |
Affinity purification | ||
Concentration: |
1mg/ml | ||
Storage Buffer: |
PBS with 0.02% sodium azide, 50% glycerol, pH7.3. | ||
Storage: |
Store at -20℃. Avoid freeze / thaw cycles. |
||
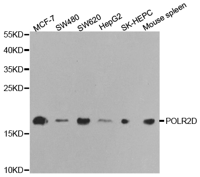
| Western blot analysis of extracts of various cell lines, using POLR2D antibody. Immunofluorescence analysis of A549 cell using POLR2D antibody. |
Protocols: |
Buffer-Formulation WB-Guide IHC-Guide IP-Guide IF-Guide |
||
Background: |
|||
部门 |
姓名 | 手机 | |||
| 销售部 | 顾先生 | 1916510334@qq.com | 18321282235 | 1916510334 | |
| 技术部 | 技术支持 | 1781364813@qq.com | 13816899465 | 1781364813 |
全国免费电话:18321282235
销售: 18321282235
86-21-60514606
技术: 13816899465
传真: 021-37680378
The latest products







