

工作时间 :
周一~~周五
9:00 -18:00
在非工作时间,您可以通过邮件订购产品,订购时请写明详细联系方式,谢谢支持!
销售:18321282235
技术:021-60514606
传真:021-37680378
顾经理微信 扫一扫,关注我们
TRPM7 Polyclonal Antibody
CHAK; CHAK1; ALSPDC; LTRPC7; TRP-PLIK
货号:YBAP16464 |
|
![]() |
|
规格: 50ul/100ul/200ul |
|
价格: 980/1280/1890 |
|
| Immunogen: | Synthetic peptide of human TRPM7 | ||
Synonym: |
CHAK; CHAK1; ALSPDC; LTRPC7; TRP-PLIK | ||
| Calculated MW: | |||
| Observed MW: | |||
Source: |
Rabbit | ||
Isotype: |
IgG | ||
Application: |
ELISA IHC | ||
Purify: |
Affinity purification | ||
Concentration: |
1mg/ml | ||
Storage Buffer: |
PBS with 0.05% sodium azide, 50% glycerol, pH7.3 | ||
Storage: |
Store at -20℃. Avoid freeze / thaw cycles. |
||
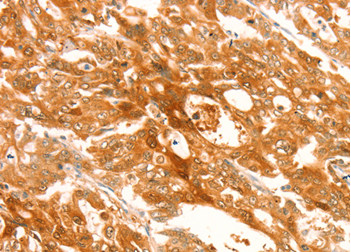
| Immunohistochemistry of Human liver cancer using TRPM7 Polyclonal Antibody at dilution of 1:30 |
Protocols: |
Buffer-Formulation WB-Guide IHC-Guide IP-Guide IF-Guide |
||
Background: |
The protein encoded by this gene is both an ion channel and a serine/threonine protein kinase. The kinase activity is essential for the ion channel function, which serves to increase intracellular calcium levels and to help regulate magnesium ion homeostasis. Defects in this gene are a cause of amyotrophic lateral sclerosis-parkinsonism/dementia complex of Guam.
|
||
部门 |
姓名 | 手机 | |||
| 销售部 | 顾先生 | 1916510334@qq.com | 18321282235 | 1916510334 | |
| 技术部 | 技术支持 | 1781364813@qq.com | 13816899465 | 1781364813 |
全国免费电话:18321282235
销售: 18321282235
86-21-60514606
技术: 13816899465
传真: 021-37680378
The latest products







