

工作时间 :
周一~~周五
9:00 -18:00
在非工作时间,您可以通过邮件订购产品,订购时请写明详细联系方式,谢谢支持!
销售:18321282235
技术:021-60514606
传真:021-37680378
顾经理微信 扫一扫,关注我们
GINS1 Polyclonal Antibody
PSF1; RP4-691N24.2
货号:YBAP16584 |
|
![]() |
|
规格: 50ul/100ul/200ul |
|
价格: 980/1280/1890 |
|
| Immunogen: | Synthetic peptide of human GINS1 | ||
Synonym: |
PSF1; RP4-691N24.2 | ||
| Calculated MW: | |||
| Observed MW: | |||
Source: |
Rabbit | ||
Isotype: |
IgG | ||
Application: |
ELISA IHC | ||
Purify: |
Affinity purification | ||
Concentration: |
2.3mg/ml | ||
Storage Buffer: |
PBS with 0.05% sodium azide, 50% glycerol, pH7.3 | ||
Storage: |
Store at -20℃. Avoid freeze / thaw cycles. |
||
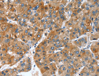
| Immunohistochemistry of Human thyroid cancer using GINS1 Polyclonal Antibody at dilution of 1:25 |
Protocols: |
Buffer-Formulation WB-Guide IHC-Guide IP-Guide IF-Guide |
||
Background: |
DNA replication complex GINS protein PSF1 is a protein that in humans is encoded by the GINS1 gene. The GINS complex plays an essential role in the initiation of DNA replication, and progression of DNA replication forks. GINS complex seems to bind preferentially to single-stranded DNA. GINS1 is essential for function. Component of the GINS complex which is a heterotetramer of GINS1, GINS2, GINS3 and GINS4. Forms a stable subcomplex with GINS4. GINS complex interacts with DNA primase in vitro.
|
||
部门 |
姓名 | 手机 | |||
| 销售部 | 顾先生 | 1916510334@qq.com | 18321282235 | 1916510334 | |
| 技术部 | 技术支持 | 1781364813@qq.com | 13816899465 | 1781364813 |
全国免费电话:18321282235
销售: 18321282235
86-21-60514606
技术: 13816899465
传真: 021-37680378
The latest products







